TOP
|
特許
|
意匠
|
商標
特許ウォッチ
Twitter
他の特許を見る
公開番号
2025167315
公報種別
公開特許公報(A)
公開日
2025-11-07
出願番号
2024071809
出願日
2024-04-25
発明の名称
放射線画像処理装置、放射線画像処理システム、放射線画像処理方法及びプログラム
出願人
コニカミノルタ株式会社
代理人
弁理士法人光陽国際特許事務所
主分類
A61B
6/46 20240101AFI20251030BHJP(医学または獣医学;衛生学)
要約
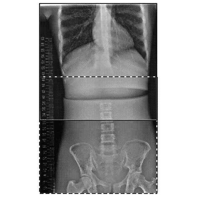
【課題】読影が容易にできる合成画像を取得可能な放射線画像処理装置、放射線画像処理システム、放射線画像処理方法及びプログラムを提供する。
【解決手段】放射線画像処理装置として機能するコンソール30は、被写体に対し、それぞれ異なる撮影条件で撮影した複数の放射線画像を取得する画像取得部として機能する制御部31と、複数の放射線画像のうち少なくとも一の放射線画像の画素値を補正する画素値補正部、複数の放射線画像を合成して一の合成画像を取得する画像合成部として機能する画像処理部36と、を備え、複数の放射線画像の各々の放射線画像は、少なくとも一つ以上の他の放射線画像との画像重複領域を有し、画素値補正部は、少なくとも一の放射線画像の画素値の最大値が、画像の階調の最大値以下となるように画素値を補正する。
【選択図】図5
特許請求の範囲
【請求項1】
被写体に対し、それぞれ異なる撮影条件で撮影した複数の放射線画像を取得する画像取得部と、
前記複数の放射線画像のうち少なくとも一の放射線画像の画素値を補正する画素値補正部と、
前記複数の放射線画像を合成して一の合成画像を取得する画像合成部と、を備え、
前記複数の放射線画像の各々の放射線画像は、少なくとも一つ以上の他の放射線画像との画像重複領域を有し、
前記画素値補正部は、前記少なくとも一の放射線画像の画素値の最大値が、画像の階調の最大値以下となるように画素値を補正する放射線画像処理装置。
続きを表示(約 1,200 文字)
【請求項2】
複数の前記撮影条件からmAs値を取得する撮影条件取得部を備え、
前記画素値補正部は、前記mAs値に基づいて前記少なくとも一の放射線画像の画素値を補正する請求項1に記載の放射線画像処理装置。
【請求項3】
前記画素値補正部は、前記複数の放射線画像のうち前記mAs値が最も低い放射線画像の画素値を基準として、他の放射線画像の画素値を補正する請求項2に記載の放射線画像処理装置。
【請求項4】
前記画素値補正部は、補正後の前記少なくとも一の放射線画像の画素値が小数となった場合に、全ての放射線画像の画素値を所定の係数倍することで、全ての放射線画像の画素値を整数とする請求項1に記載の放射線画像処理装置。
【請求項5】
前記合成画像及び前記複数の放射線画像を表示部に表示させる表示制御部を備え、
前記表示制御部は、前記複数の放射線画像のうち、前記画素値補正部による前記少なくとも一の放射線画像の画素値の補正の基準とした放射線画像を識別可能に、前記表示部に表示させる請求項1に記載の放射線画像処理装置。
【請求項6】
請求項1から5のいずれか一項に記載の放射線画像処理装置と、
放射線を発生させる放射線発生装置と、
前記放射線発生装置が発生させた放射線を受けることで放射線画像を生成する放射線撮影装置と、を備える放射線画像処理システム。
【請求項7】
被写体に対し、それぞれ異なる撮影条件で撮影した複数の放射線画像を取得する画像取得ステップと、
前記複数の放射線画像のうち少なくとも一の放射線画像の画素値を補正する画素値補正ステップと、
前記複数の放射線画像を合成して一の合成画像を取得する画像合成ステップと、を備え、
前記複数の放射線画像の各々の放射線画像は、少なくとも一つ以上の他の放射線画像との画像重複領域を有し、
前記画素値補正ステップは、前記少なくとも一の放射線画像の画素値の最大値が、画像の階調の最大値以下となるように画素値を補正する放射線画像処理方法。
【請求項8】
コンピューターを、
被写体に対し、それぞれ異なる撮影条件で撮影した複数の放射線画像を取得する画像取得部、
前記複数の放射線画像のうち少なくとも一の放射線画像の画素値を補正する画素値補正部、
前記複数の放射線画像を合成して一の合成画像を取得する画像合成部、として機能させるプログラムであって、
前記複数の放射線画像の各々の放射線画像は、少なくとも一つ以上の他の放射線画像との画像重複領域を有し、
前記画素値補正部は、前記少なくとも一の放射線画像の画素値の最大値が、画像の階調の最大値以下となるように画素値を補正するプログラム。
発明の詳細な説明
【技術分野】
【0001】
本発明は、放射線画像処理装置、放射線画像処理システム、放射線画像処理方法及びプログラムに関する。
続きを表示(約 1,300 文字)
【背景技術】
【0002】
従来、放射線源の照射方向を体軸方向に変えることで得た複数の画像を合成させた合成画像を作成する方法(いわゆる首振り長尺)が知られている。
【0003】
当該方法においては、放射線を複数回被写体に曝射する必要がある。そのため、被写体に健康上の悪影響が生じるおそれがある。そこで、例えば特許文献1及び2には、画像撮影の度に撮影条件を変更することで曝射の影響を抑えて、画像合成時に各画像の画素値を自動で補正する方法が記載されている。
【先行技術文献】
【特許文献】
【0004】
特許第5759405号公報
特許第4754812号公報
【発明の概要】
【発明が解決しようとする課題】
【0005】
しかしながら、特許文献1及び2には、画素値補正の具体的な方法については記載されていない。そのため、合成画像の画素値が階調の最大値以上となって(いわゆる濃度飽和)黒潰れを起こし、読影が困難になり得る。
【0006】
本発明はかかる事情に鑑みてなされたものである。その目的は、読影が容易にできる合成画像を取得可能な放射線画像処理装置、放射線画像処理システム、放射線画像処理方法及びプログラムを提供することである。
【課題を解決するための手段】
【0007】
以上の課題を解決するために、請求項1に記載の発明は、放射線画像処理装置であって、
被写体に対し、それぞれ異なる撮影条件で撮影した複数の放射線画像を取得する画像取得部と、
前記複数の放射線画像のうち少なくとも一の放射線画像の画素値を補正する画素値補正部と、
前記複数の放射線画像を合成して一の合成画像を取得する画像合成部と、を備え、
前記複数の放射線画像の各々の放射線画像は、少なくとも一つ以上の他の放射線画像との画像重複領域を有し、
前記画素値補正部は、前記少なくとも一の放射線画像の画素値の最大値が、画像の階調の最大値以下となるように画素値を補正する。
【0008】
請求項2に記載の発明は、請求項1に記載の放射線画像処理装置であって、
複数の前記撮影条件からmAs値を取得する撮影条件取得部を備え、
前記画素値補正部は、前記mAs値に基づいて前記少なくとも一の放射線画像の画素値を補正する。
【0009】
請求項3に記載の発明は、請求項2に記載の放射線画像処理装置であって、
前記画素値補正部は、前記複数の放射線画像のうち前記mAs値が最も低い放射線画像の画素値を基準として、他の放射線画像の画素値を補正する。
【0010】
請求項4に記載の発明は、請求項1に記載の放射線画像処理装置であって、
前記画素値補正部は、補正後の前記少なくとも一の放射線画像の画素値が小数となった場合に、全ての放射線画像の画素値を所定の係数倍することで、全ての放射線画像の画素値を整数とする。
(【0011】以降は省略されています)
この特許をJ-PlatPat(特許庁公式サイト)で参照する
関連特許
コニカミノルタ株式会社
光計測装置
3日前
コニカミノルタ株式会社
液滴吐出装置
11日前
コニカミノルタ株式会社
画像形成装置
9日前
コニカミノルタ株式会社
放射線撮影システム
9日前
コニカミノルタ株式会社
放射線撮影システム
9日前
コニカミノルタ株式会社
トナー収容容器および画像形成装置
3日前
コニカミノルタ株式会社
画像読取装置及び画像形成システム
3日前
コニカミノルタ株式会社
画像形成装置、制御方法及びプログラム
3日前
コニカミノルタ株式会社
動態画像解析装置、方法、及びプログラム。
9日前
コニカミノルタ株式会社
動態画像解析装置、方法、及びプログラム。
9日前
コニカミノルタ株式会社
情報処理装置、情報表示システム及びプログラム
3日前
コニカミノルタ株式会社
プログラム、情報処理システム及び情報処理方法
9日前
コニカミノルタ株式会社
断裁装置、画像形成システム及び断裁位置決定方法
3日前
コニカミノルタ株式会社
放射線画像処理装置及び放射線画像処理プログラム
9日前
コニカミノルタ株式会社
色調整システム、色調整装置、色調整方法及びプログラム
9日前
コニカミノルタ株式会社
状態評価装置、状態評価方法、および状態評価プログラム
9日前
コニカミノルタ株式会社
中綴じ処理機構および中綴じ処理機構を備えた画像形成装置
9日前
コニカミノルタ株式会社
画像検査装置
9日前
コニカミノルタ株式会社
検査装置、画像形成システム、異常検出方法およびプログラム
9日前
コニカミノルタ株式会社
画像形成装置
3日前
コニカミノルタ株式会社
活性エネルギー線硬化型インクジェットインク及び画像形成方法
11日前
コニカミノルタ株式会社
介護支援システム、介護支援装置、制御方法、および制御プログラム
9日前
コニカミノルタ株式会社
プログラム、医用情報処理装置、医用情報処理システム及び医用情報処理方法
9日前
コニカミノルタ株式会社
画像形成方法、インクジェット捺染用インクセット及びインクジェット捺染装置
4日前
コニカミノルタ株式会社
インクジェット記録装置のメンテナンス方法、インクジェット記録装置及びプログラム
11日前
コニカミノルタ株式会社
サービス提供システム、サービス提供サーバー、印刷設定支援方法およい印刷設定支援プログラム
3日前
コニカミノルタ株式会社
インクジェットインク、硬化物の形成方法および硬化物
9日前
コニカミノルタ株式会社
インクジェット用インク、ソルダーレジスト、プリント配線基板、塗膜形成方法及び塗膜形成装置
3日前
個人
貼付剤
27日前
個人
簡易担架
9日前
個人
腋臭防止剤
9日前
個人
足踏み器具
16日前
個人
短下肢装具
4か月前
個人
白内障治療法
8か月前
個人
前腕誘導装置
4か月前
個人
排尿補助器具
1か月前
続きを見る
他の特許を見る