TOP
|
特許
|
意匠
|
商標
特許ウォッチ
Twitter
他の特許を見る
10個以上の画像は省略されています。
公開番号
2025168676
公報種別
公開特許公報(A)
公開日
2025-11-11
出願番号
2025122959,2022536118
出願日
2025-07-23,2021-01-14
発明の名称
成熟脂肪細胞含有組成物の製造方法
出願人
医療法人Yanaga CLinic
代理人
個人
,
個人
,
個人
主分類
C12N
5/077 20100101AFI20251104BHJP(生化学;ビール;酒精;ぶどう酒;酢;微生物学;酵素学;突然変異または遺伝子工学)
要約
【課題】血管再生能が高く,炎症を惹起する可能性が低い成熟脂肪細胞含有組成物の製造方法を提供する.
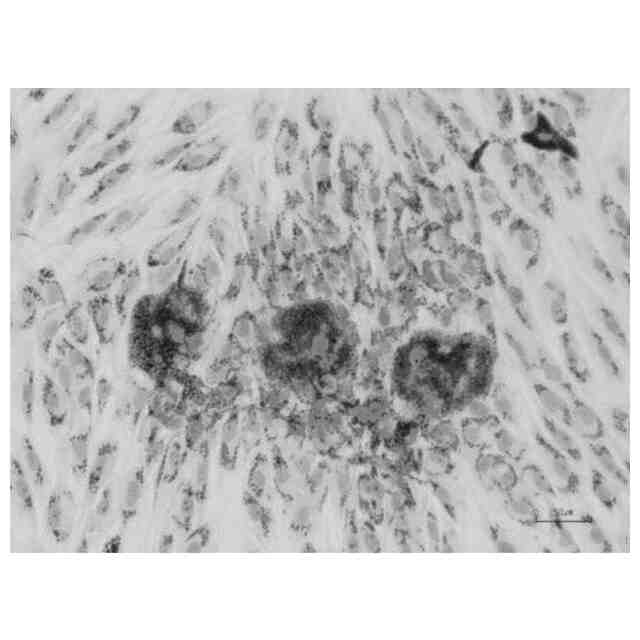
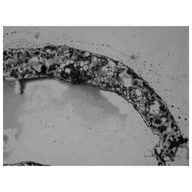
【解決手段】酵素処理をしていない脂肪組織を裁断ろ過し,微小脂肪を得る裁断ろ過工程と,裁断ろ過工程後に,培養用培地を用いて微小脂肪を培養し,成熟脂肪細胞を得る微小脂肪培養工程と,成熟脂肪細胞と微小脂肪培養工程を経て得られる馴化培地とを含む成熟脂肪細胞含有組成物を得る成熟脂肪細胞含有組成物取得工程とを含む,成熟脂肪細胞含有組成物の製造方法であって,培養用培地は,自己血清を含むか,FBS,ヒドロコルチゾン及びFGF-2を含む培地である成熟脂肪細胞含有組成物の製造方法.
【選択図】図1
特許請求の範囲
【請求項1】
酵素処理をしていない脂肪組織を裁断ろ過し,微小脂肪を得る裁断ろ過工程と,
裁断ろ過工程後に,培養用培地を用いて前記微小脂肪を培養し,成熟脂肪細胞を得る微小脂肪培養工程と,
前記成熟脂肪細胞と前記微小脂肪培養工程を経て得られる馴化培地(conditioned medium)とを含む成熟脂肪細胞含有組成物を得る成熟脂肪細胞含有組成物取得工程とを含む,
成熟脂肪細胞含有組成物の製造方法であって,
前記裁断ろ過工程は,遠心分離を行い,沈殿する間質血管細胞群(SVF)を除去し、液相の上部に浮き上がる脂肪成分である前記微小脂肪を回収する工程を含み,
前記培養用培地は,
ヒドロコルチゾン及びFGF-2を含む無血清培地である
成熟脂肪細胞含有組成物の製造方法。
続きを表示(約 630 文字)
【請求項2】
請求項1に記載の成熟脂肪細胞含有組成物の製造方法であって,
前記脂肪組織は,吸引脂肪を洗浄後,血液成分を除去されたものである成熟脂肪細胞含有組成物の製造方法。
【請求項3】
請求項2に記載の成熟脂肪細胞含有組成物の製造方法であって,
前記裁断ろ過工程は,遠心分離により得られる液相の上部に浮き上がる脂肪成分を回収し,前記微小細胞を得る工程をさらに含む,成熟脂肪細胞含有組成物の製造方法。
【請求項4】
請求項1~3のいずれかに記載の成熟脂肪細胞含有組成物の製造方法であって,前記成熟脂肪細胞含有組成物は,皮下脂肪組織の代用として用いられる成熟脂肪細胞含有組成物の製造方法。
【請求項5】
請求項1~3のいずれかに記載の成熟脂肪細胞含有組成物の製造方法であって,前記成熟脂肪細胞含有組成物は,乳房増大術,乳房再建術,又は組織陥凹形成術に用いられる成熟脂肪細胞含有組成物の製造方法。
【請求項6】
請求項1~3のいずれかに記載の成熟脂肪細胞含有組成物の製造方法によって得られた成熟脂肪細胞含有組成物を含む血管再生促進剤の製造方法。
【請求項7】
請求項8に記載の血管再生促進剤の製造方法であって,前記成熟脂肪細胞含有組成物は,
血管内皮細胞増殖因子受容体(VEGFR)2、又は陽性細胞及び血小板由来成長因子(PDGFR)βを含む,方法。
発明の詳細な説明
【技術分野】
【0001】
この発明は,成熟脂肪細胞含有組成物の製造方法に関する。より詳しく説明すると,移植用脂肪組織の血管再生を上げて脂肪移植の生着率を向上させる成熟脂肪細胞と馴化培地(例えば成熟脂肪細胞の上清液)を含む成熟脂肪細胞含有組成物の製造方法に関する。
続きを表示(約 2,200 文字)
【背景技術】
【0002】
乳癌切除後に行われる乳房再建術としての脂肪移植は癌転移を促進せずに安全であるとされておいる。このため,乳房再建術は,形成外科並びに美容外科の領域で頻繁に行われる.しかし,乳房の組織量は大量なため,これまで単に生体の脂肪組織を吸引し得た脂肪組織片を移植しても30~45%の生着率しか得られなかった(Zhouら非特許文献1).
【0003】
レシピエント環境での吸引脂肪組織片の生存率が低い主な原因は,栄養血管がないことである.移植された脂肪組織片は元の栄養血管から分離されるので,栄養不良となり壊死に陥る.脂肪組織片は移植後に異物として認識され,吸収,嚢腫形成,石灰化が起こることはよく知れている. 次に生着率を高める方法として,脂肪組織の血管周囲に存在する間質血管画分にあるSVF(small vascular fraction)に存在する脂肪由来幹細胞(ASC)と共に脂肪組織を移植する方法が報告された(cell-assisted lipotransfer細胞支援脂移植肪: CAL(Etoら非特許文献2). この方法は吸引脂肪組織を酵素処理して脂肪成分を除去し,血管周囲にある細胞,SVF脂肪前駆幹細胞を得て,吸引脂肪組織と一緒に移植する方法である。SVFは自己再生する能力が高くおよび多能性を有すると特徴付けられる(Zuk PA.ら非特許文献3).
【0004】
Zhouらはsystematic reviewで387件のケースを含む17件の記事を系統的レビューした(Zhouら非特許文献1).脂肪生存率は,単独吸引脂肪移植群よりもCAL群の方が有意に高かった(60%対45%,p = 0.0096). CALは,顔の脂肪生存率を大幅に改善し(19%),複数の手術の発生率を減少させました(13.6%)。 しかし,乳房脂肪移植では,脂肪生存率は9%しか改善されず,統計的に有意ではなかった.
【0005】
一方,乳房症例のCAL:Cell assisted liptransfer (Etoら非特許文献2)は,顔面症例と比較して合併症の発生率が高かった(p <0.001)。CALは脂肪組織を酵素処理して得られる間質血管細胞群(SVF:small vascular fraction)に存在する脂肪由来幹細胞(ASC)を利用して、血管を再生させる細胞ASCと脂肪組織を共に移植する方法である.もっともCALの多くは,移植脂肪の吸収が起きて失敗におわる.その原因として,移植された脂肪組織は元の栄養血管から分離されるので,一部(300マイクロ以下の脂肪)は残るものの多くは栄養不良となり壊死に陥ることが考えられる.
【0006】
現在までに成功している血管再生用細胞としては脂肪前駆細胞である脂肪幹細胞(ASC)と脱分化脂肪細胞(DFAT)の2つが開発されている.
【0007】
ASCは脂肪前駆細胞であるが,脂肪細胞に分化するだけではなく,骨細胞,筋細胞,軟骨細胞などへの多分化能を有する幹細胞である(Zuk PA.ら非特許文献3).また,癌転移を促進するとの報告があるので,乳癌切除後の乳房再形成術に頻繁に行う脂肪移植には不適である.また,ASCは低酸素下では多量のTNF-αが誘導されるので,炎症を惹起する可能性があり,移植後の炎症惹起による吸収を抑制できないため移植には適さない.
【0008】
また,DFAT細胞が血管を誘導する因子が何であるか特定されておらず,そのメカニズムの不明確性もヒトへの適応を阻む原因である.
【先行技術文献】
【非特許文献】
【0009】
Zhou Y, Wang J, Li H, et al. Efficacy and Safety of Cell-Assisted Lipotransfer: A Systematic Review and Meta-Analysis. Plast Reconstr Surg 2016: 137: 44e-57e.
Eto H, et al.: The fate of adipocyte after non vascularized fat grafting: Evidence of early death and replacement of adipocytes. Plast Reconstr Surg. 2012;129(5):1081-92.
Zuk PA. et al.: Human adipose tissue is a source of multipotent stem cells. Mol Biol Cell 2001; 13:4279-95.
【発明の概要】
【発明が解決しようとする課題】
【0010】
上記の背景もあり,血管再生能の高い成熟脂肪細胞含有組成物が望まれた。また,炎症を惹起する可能性の低い成熟脂肪細胞含有組成物が望まれた。
(【0011】以降は省略されています)
この特許をJ-PlatPat(特許庁公式サイト)で参照する
関連特許
個人
抗遺伝子劣化装置
2か月前
個人
細胞内探査とその利用
2か月前
雪国アグリ株式会社
単糖類の製造方法
1か月前
個人
細胞培養容器
4か月前
東洋紡株式会社
改変型RNAポリメラーゼ
4か月前
テルモ株式会社
吐出デバイス
2か月前
株式会社タクマ
バイオマス処理装置
3か月前
株式会社タクマ
バイオマス処理装置
3か月前
日油株式会社
蛋白質安定化剤
4か月前
株式会社東洋新薬
経口組成物
2か月前
テルモ株式会社
容器蓋デバイス
2か月前
宝酒造株式会社
アルコール飲料
1か月前
東ソー株式会社
pH応答性マイクロキャリア
2か月前
島根県
油吸着材とその製造方法
1か月前
大陽日酸株式会社
培養装置
2か月前
大陽日酸株式会社
培養装置
2か月前
トヨタ自動車株式会社
バイオ燃料製造方法
2か月前
株式会社ファンケル
SEC12タンパク発現促進剤
3か月前
株式会社豊田中央研究所
細胞励起装置
1か月前
個人
有機フッ素化合物を分解する廃液処理法
28日前
月桂冠株式会社
低プリン体清酒
14日前
株式会社シャローム
スフィンゴミエリン製造方法
2か月前
テルモ株式会社
採取組織細切補助デバイス
2か月前
横河電機株式会社
藻類培養装置
1か月前
新東工業株式会社
培養システム
1か月前
株式会社村田製作所
濾過装置および濾過方法
1か月前
株式会社今宮
瓶詰ビールの加熱殺菌方法および装置
2か月前
住友金属鉱山株式会社
連続発酵方法及び連続発酵装置
2か月前
東ソー株式会社
免疫グロブリン結合性タンパク質の製造方法
4日前
東ソー株式会社
免疫学的測定法
28日前
株式会社ショウワ
キトサンオリゴマー分画方法
1か月前
公立大学法人北九州市立大学
微生物の検知方法
2か月前
フジッコ株式会社
エリナシンAの産生方法
1か月前
株式会社日本触媒
スフェロイドの輸送方法
1か月前
積水化学工業株式会社
遺伝子導入方法
1か月前
NTN株式会社
細胞配置の制御方法
1か月前
続きを見る
他の特許を見る