TOP
|
特許
|
意匠
|
商標
特許ウォッチ
Twitter
他の特許を見る
公開番号
2025162200
公報種別
公開特許公報(A)
公開日
2025-10-27
出願番号
2024065331
出願日
2024-04-15
発明の名称
複合水酸化物、複合酸化物および製造方法
出願人
プライムプラネットエナジー&ソリューションズ株式会社
代理人
弁理士法人深見特許事務所
主分類
C01G
53/00 20060101AFI20251020BHJP(無機化学)
要約
【課題】複数の1次粒子が凝集した2次粒子である複合水酸化物であって、2次粒子どうしが凝集した状態での焼結が抑制される複合水酸化物およびその製造方法、ならびにその複合水酸化物を用いて製造された複合酸化物およびその製造方法を提供すること。
【解決手段】ニッケルを含有する化合物およびマンガンを含有する化合物を含む水溶液にアンモニア水溶液および水酸化ナトリウムを供給することにより、液温25℃基準でのpHを12.0~13.5およびアンモニウムイオン濃度を5.3~11.7g/Lに維持しながら核を生成させる核生成工程と、液温25℃基準でのpHを9.7~10.8およびアンモニウムイオン濃度を20.0~26.4g/Lに維持しながら前記核を成長させる核成長工程とを含む、複合水酸化物の製造方法。
【選択図】図1
特許請求の範囲
【請求項1】
複合水酸化物の製造方法であって、
前記複合水酸化物は、ニッケルおよびマンガンを含有し、
ニッケルを含有する化合物およびマンガンを含有する化合物を含む水溶液にアンモニア水溶液および水酸化ナトリウムを供給することにより、液温25℃基準でのpHを12.0~13.5およびアンモニウムイオン濃度を5.3~11.7g/Lに維持しながら核を生成させる核生成工程と、
液温25℃基準でのpHを9.7~10.8およびアンモニウムイオン濃度を20.0~26.4g/Lに維持しながら前記核を成長させる核成長工程と
を含む、複合水酸化物の製造方法。
続きを表示(約 1,000 文字)
【請求項2】
前記複合水酸化物は、下記式(i):
Ni
1-x-y-z
Co
x
Mn
y
M
z
(i)
(式(i)中、
0<x<0.5、0<y<0.5、0≦z<0.05であり、
Mは、Al、Ti、Zr、B、Mg、Fe、Cu、Zn、Sn、Na、K、Ba、Sr、Ca、W、Mo、Nb、Si、V、CrおよびGeからなる群から選択される1種以上の元素である)
で表される化合物である、請求項1に記載の複合水酸化物の製造方法。
【請求項3】
前記核生成工程および前記核成長工程はいずれも非酸化性雰囲気で行う、請求項1または2に記載の複合水酸化物の製造方法。
【請求項4】
請求項1または2に記載の複合水酸化物の製造方法を含む、複合酸化物の製造方法。
【請求項5】
解砕工程を含まない、請求項4に記載の複合酸化物の製造方法。
【請求項6】
複数の1次粒子が凝集した2次粒子であって、
(001)面に平行な方向における結晶子サイズSpが300nm~500nmであり、
(001)面に垂直方向における結晶子サイズSvが100nm~300nmであり、
走査型電子顕微鏡により観察したときの前記1次粒子の(001)面に垂直な方向における長さLvに対する(001)面に平行な方向における長さLpの比(Lp/Lv)が10以上であり、
前記複数の1次粒子の少なくとも一部はランダムに凝集され、
前記2次粒子の平均粒子径は、2.0~7.0μmであり、
ニッケルおよびマンガンを含有する、複合水酸化物。
【請求項7】
前記2次粒子のBET比表面積は、10m
2
/g以下である、請求項6に記載の複合水酸化物。
【請求項8】
前記2次粒子のX線回折法により求められる(001)面の回折ピークの強度I001に対する(011)面の回折ピークの強度I011の比(I011/I001)は1.00以上である、請求項6または7に記載の複合水酸化物。
【請求項9】
請求項6または7に記載の複合水酸化物とリチウムとの混合物の焼成物を含む、複合酸化物。
発明の詳細な説明
【技術分野】
【0001】
本開示は、複合水酸化物の製造方法に関し、さらには複合水酸化物、複合酸化物の製造方法、および複合酸化物にも関する。
続きを表示(約 2,800 文字)
【背景技術】
【0002】
特開2016-210674号公報(特許文献1)には、ニッケルコバルト複合水酸化物およびその製造方法が記載されている。
【先行技術文献】
【特許文献】
【0003】
特開2016-210674号公報
【発明の概要】
【発明が解決しようとする課題】
【0004】
非水電解質二次電池に用いる正極活物質は、粒子の割れに起因する耐久性の観点から、比較的少ない数の1次粒子が凝集した2次粒子とするために、正極活物質の製造工程において比較的高い温度で正極活物質の前駆体の焼成処理が行われる場合がある。しかしながら、特許文献1に記載のニッケルコバルト複合水酸化物は、比較的高い温度で焼成処理を行うと、2次粒子どうしが凝集した状態で焼結されてしまう場合が多い。その結果、正極活物質層における充填性が低下する場合がある。正極活物質層における充填性を向上させるためには、正極活物質の製造工程において凝集した2次粒子を解砕する解砕工程が必要となり、工程数が増加することとなる。
【0005】
本開示は、複数の1次粒子が凝集した2次粒子であるニッケルおよびマンガンを含有する複合水酸化物であって、2次粒子どうしが凝集した状態での焼結が抑制される複合水酸化物およびその製造方法、ならびにその複合水酸化物を用いて製造された複合酸化物およびその製造方法を提供することを目的とする。
【課題を解決するための手段】
【0006】
[1] 複合水酸化物の製造方法であって、
前記複合水酸化物は、ニッケルおよびマンガンを含有し、
ニッケルを含有する化合物およびマンガンを含有する化合物を含む水溶液にアンモニア水溶液および水酸化ナトリウムを供給することにより、液温25℃基準でのpHを12.0~13.5およびアンモニウムイオン濃度を5.3~11.7g/Lに維持しながら核を生成させる核生成工程と、
液温25℃基準でのpHを9.7~10.8およびアンモニウムイオン濃度を20.0~26.4g/Lに維持しながら前記核を成長させる核成長工程と
を含む、複合水酸化物の製造方法。
[2] 前記複合水酸化物は、下記式(i):
Ni
1-x-y-z
Co
x
Mn
y
M
z
(i)
(式(i)中、
0<x<0.5、0<y<0.5、0≦z<0.05であり、
Mは、Al、Ti、Zr、B、Mg、Fe、Cu、Zn、Sn、Na、K、Ba、Sr、Ca、W、Mo、Nb、Si、V、CrおよびGeからなる群から選択される1種以上の元素である)
で表される化合物である、[1]に記載の複合水酸化物の製造方法。
[3] 前記核生成工程および前記核成長工程はいずれも非酸化性雰囲気で行う、[1]または[2]に記載の複合水酸化物の製造方法。
[4] [1]~[3]のいずれかに記載の複合水酸化物の製造方法を含む、複合酸化物の製造方法。
[5] 解砕工程を含まない、[4]に記載の複合酸化物の製造方法。
[6] 複数の1次粒子が凝集した2次粒子であって、
(001)面に平行な方向における結晶子サイズSpが300nm~500nmであり、
(001)面に垂直方向における結晶子サイズSvが100nm~300nmであり、
走査型電子顕微鏡により観察したときの前記1次粒子の(001)面に垂直な方向における長さLvに対する(001)面に平行な方向における長さLpの比(Lp/Lv)が10以上であり、
前記複数の1次粒子の少なくとも一部はランダムに凝集され、
前記2次粒子の平均粒子径は、2.0~7.0μmであり、
ニッケルおよびマンガンを含有する、複合水酸化物。
[7] 前記2次粒子のBET比表面積は、10m
2
/g以下である、[6]に記載の複合水酸化物。
[8] 前記2次粒子のX線回折法により求められる(001)面の回折ピークの強度I001に対する(011)面の回折ピークの強度I011の比(I011/I001)は1.00以上である、[6]または[7]に記載の複合水酸化物。
[9] [6]~[8]のいずれかに記載の複合水酸化物とリチウムとの混合物の焼成物を含む、複合酸化物。
【発明の効果】
【0007】
本開示によれば、複数の1次粒子が凝集した2次粒子である、ニッケルおよびマンガンを含有する複合水酸化物であって、2次粒子どうしが凝集した状態での焼結が抑制される複合水酸化物およびその製造方法、ならびにその複合水酸化物を用いて製造された複合酸化物およびその製造方法を提供することができる。
【図面の簡単な説明】
【0008】
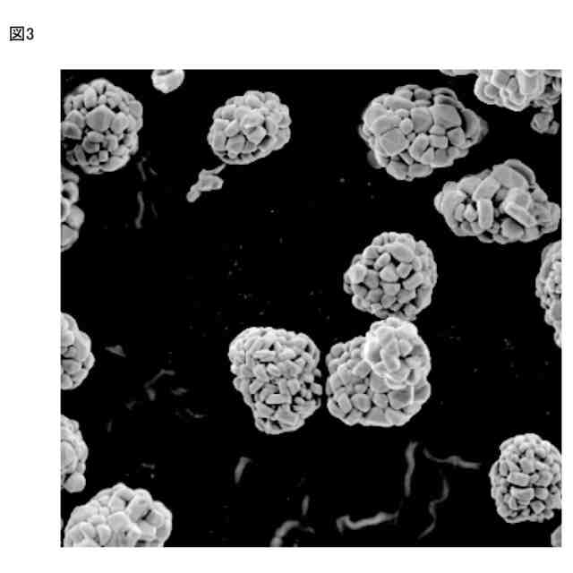
実施例1において作製した複合水酸化物の走査型電子顕微鏡観察像である。
1次粒子の(001)面に垂直な方向および(001)面に平行な方向を説明するための図である。
実施例1において作製した複合酸化物の走査型電子顕微鏡観察像である。
比較例4において作製した複合水酸化物の走査型電子顕微鏡観察像である。
比較例4において作製した複合水酸化物の走査型電子顕微鏡観察像である。
【発明を実施するための形態】
【0009】
<複合水酸化物の製造方法>
本開示の複合水酸化物の製造方法は、複合水酸化物がニッケル(Ni)およびマンガン(Mn)を含有し、Niを含有する化合物およびMnを含有する化合物を含む水溶液(以下、原料金属水酸化物ともいう)にアンモニア水溶液および水酸化ナトリウムを供給することにより、液温25℃基準でのpHを12.0~13.5およびアンモニウムイオン濃度を5.3~11.7g/Lに維持しながら核を生成させる核生成工程と、pHを9.7~10.8およびアンモニア濃度を20.0~26.4g/Lに維持しながら核を成長させる核成長工程とを含む。
【0010】
複合水酸化物は、例えば、リチウムイオン電池等の非水電解質二次電池(以下、二次電池ともいう)の正極が有する活物質層に用いられる正極活物質の前駆体であることができる。正極活物質は、例えば複合水酸化物とリチウムとを混合して焼成処理を行うことにより作製することができる。複合水酸化物は、粒子状であってよく、1次粒子が凝集した2次粒子であってよい。
(【0011】以降は省略されています)
この特許をJ-PlatPat(特許庁公式サイト)で参照する
関連特許
個人
一酸化炭素の製造方法
21日前
株式会社タクマ
固体炭素化設備
1か月前
東洋アルミニウム株式会社
水素発生材料
7日前
東洋アルミニウム株式会社
水素発生材料
7日前
三菱重工業株式会社
加熱装置
1か月前
株式会社トクヤマ
酸性次亜塩素酸水の製造方法
29日前
日揮触媒化成株式会社
珪酸液およびその製造方法
1か月前
デンカ株式会社
窒化ケイ素粉末
1か月前
デンカ株式会社
窒化ケイ素粉末
1か月前
住友化学株式会社
無機アルミニウム化合物粉末
28日前
デンカ株式会社
窒化ケイ素粉末の製造方法
1か月前
三菱ケミカル株式会社
槽の洗浄方法及びシリカ粒子の製造方法
1か月前
デンカ株式会社
セラミックス粉末の製造方法
1か月前
浅田化学工業株式会社
アルミナ水分散液の製造方法
20日前
デンカ株式会社
アルミナ粉末、無機粉末および樹脂組成物
15日前
デンカ株式会社
アルミナ粉末、無機粉末および樹脂組成物
15日前
大阪瓦斯株式会社
酸化物複合体
1か月前
デンカ株式会社
アルミナ粉末、無機粉末および樹脂組成物
15日前
JFEエンジニアリング株式会社
ドライアイス製造システム
29日前
アサヒプリテック株式会社
濃縮方法
1か月前
デンカ株式会社
窒化ホウ素粉末の製造方法
1か月前
トヨタ自動車株式会社
光触媒を用いた水素ガス製造装置
1か月前
トヨタ自動車株式会社
光触媒を用いた水素ガス製造装置
1か月前
トヨタ自動車株式会社
光触媒を用いた水素ガス製造装置
1か月前
アサヒプリテック株式会社
濃縮方法
1か月前
トヨタ自動車株式会社
光触媒を用いた水素ガス製造装置
1か月前
大阪瓦斯株式会社
水素製造装置及びその運転方法
1か月前
日揮触媒化成株式会社
粉体及びその製造方法、並びに樹脂組成物
1か月前
株式会社レゾナック
球状アルミナ粉末
1か月前
日本電気株式会社
繊維状カーボンナノホーン集合体の接着分離方法
1か月前
マイクロ波化学株式会社
水素の製造方法
13日前
デンカ株式会社
窒化ホウ素粉末、及び樹脂成形体
1か月前
株式会社大阪チタニウムテクノロジーズ
四塩化チタン製造方法
1か月前
デンカ株式会社
窒化ホウ素粉末、及び樹脂成形体
1か月前
エヌ・イーケムキャット株式会社
ゼオライトの製造方法
1か月前
デンカ株式会社
無機粉末及びそれを用いた樹脂組成物
20日前
続きを見る
他の特許を見る