TOP
|
特許
|
意匠
|
商標
特許ウォッチ
Twitter
他の特許を見る
10個以上の画像は省略されています。
公開番号
2025171998
公報種別
公開特許公報(A)
公開日
2025-11-20
出願番号
2025075054
出願日
2025-04-29
発明の名称
気管内チューブの位置異常な警告装置
出願人
高雄醫學大學
代理人
個人
主分類
A61B
6/12 20060101AFI20251113BHJP(医学または獣医学;衛生学)
要約
【課題】気管内チューブの位置異常な警告装置を提供する。
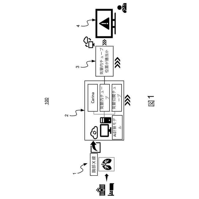
【解決手段】気管内チューブの設置位置の正確性を監視するものであり、患者の胸部X線の画像素材を収集する監視モジュール1と、ディープラーニングモデルに基づいて物件を検知する物件検知モジュール2と、当該物件検知モジュールの結果に基づいて気管内チューブの位置適当性を判読する位置評価モジュール3及び、気管内チューブの位置適当性の評価結果を表示して、必要な警告を提出し、臨床参照とする表示モジュール4と、から構成される。これにより、患者に対して撮影した胸部X線画像を用いて、人工知能計算モデルで、気管内チューブの位置を評価する。主な目的は、臨床医療スタッフが、快速的且つ正確的に気管内チューブの位置の適当性を確定でき、計画外の気管内チューブの滑り率や片肺換気の発生率を低下させて、医療品質を向上することにより、患者の安全性とバイタルサイン安定性を高める。
【選択図】図1
特許請求の範囲
【請求項1】
気管内チューブの設置位置の正確性を監視するものであり、 患者の胸部X線の画像素材を収集する、監視モジュールと、 当該監視モジュールに接続されて、当該監視モジュールから入力された当該胸部X線の画像素材を受信し、人工知能(Artificial Intelligence, AI)計算モデルによって、画像の気管カリーナ(tracheal carina)や、気管内チューブ(endotracheal tube, ETT)及び、気管切開チューブ(tracheostomy tubes)の存在を識別して位置を注釈する、物件検知モジュールと、 当該物件検知モジュールに接続されて、当該物件検知モジュールによって気管カリーナと気管内チューブが存在することを検知した時、当該人工知能計算モデルの判断結果である注釈位置を利用して、自動的に、気管内チューブ先端と気管カリーナとの距離を測定して、得られた距離値に基づいて、気管内チューブの位置適当性の評価結果を生成し、当該気管内チューブの位置が正確範囲内に位置しない時、アラームをトリガーする、位置評価モジュール、及び、当該位置評価モジュールに接続されて、当該物件検知モジュールと当該位置評価モジュールの判断結果を受信して、警告信号を発し、また、物件注釈結果と気管内チューブの位置適当性の当該評価結果を表示する、表示モジュールと、 が含まれる、 ことを特徴とする、気管内チューブの位置異常な警告装置。
続きを表示(約 1,200 文字)
【請求項2】
当該物件検知モジュールは、YOLOv5のディープラーニングモデルに基づいて、胸部X線の画像素材を入力し、また、プリセット比率で、複数の胸部X線の画像素材を、夫々、ディープラーニングのトレーニングデータセットやテストデータセットとして、当該トレーニングデータセットでモデルトレーニングを行い、また、当該テストデータセットでテストを行って、確認することにより、当該人工知能計算モデルが完成され、それから、標準機能評価指標によって当該人工知能計算モデルの性能が評価される、ことを特徴とする、請求項1に記載される気管内チューブの位置異常な警告装置。
【請求項3】
当該標準機能評価指標には、精度(precision)や、リコール(recall)、平均平均精度(mean average precision, mAP@50)及び、正確さ(accuracy)が含まれるが、それらによって制限されない、ことを特徴とする、請求項2に記載される気管内チューブの位置異常な警告装置。
【請求項4】
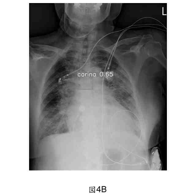
当該位置評価モジュールは、気管内チューブ先端と気管カリーナとの距離を測定し、識別した気管内チューブ先端の注釈境界ボックスの下端から、左端と右端の座標点を選び出して、関数で、2点間の中間点を計算し、それが、ユークリッド距離公式で当該3点と気管カリーナの距離値を利用して、計算した最も短い距離を選び出し、また、当該距離に対して、画像のピクセル値を、対応する実際の距離値に変換する、ことを特徴とする、請求項1に記載される気管内チューブの位置異常な警告装置。
【請求項5】
当該位置評価モジュールは、気管内チューブの先端位置が、気管カリーナより低い時、或いは、気管内チューブ先端と気管カリーナとの距離が、3cmより小さい時や5cmより大きい時、アラームをトリガーする、ことを特徴とする、請求項1に記載される気管内チューブの位置異常な警告装置。
【請求項6】
当該アラームをトリガーする方式は、図示やフラッシュ図示或いは音声方式によって表現されるが、それによって制限されない、ことを特徴とする、請求項1か5に記載される気管内チューブの位置異常な警告装置。
【請求項7】
当該物件検知モジュールの当該胸部X線の画像素材は、気管内チューブを有する胸部X線や、気管切開チューブを有する胸部X線及び、気管内チューブ無し或いは気管切開チューブ無しの胸部X線である、ことを特徴とする、請求項1に記載される気管内チューブの位置異常な警告装置。
【請求項8】
当該気管内チューブを有する胸部X線のソースは、主として、気管内チューブ治療を必要とする実際の患者の画像であり、それに、気管内チューブの位置が適当か否である判例が含まれ、また、患者グループには、異なる気管内チューブ経験と胸部解剖構造の患者が含まれる、ことを特徴とする、請求項7に記載される気管内チューブの位置異常な警告装置。
発明の詳細な説明
【技術分野】
【0001】
本発明は、気管内チューブの位置異常な警告装置に関して、特に、医療画像に関し、更に、臨床医療スタッフに対して、快速的且つ正確的に、気管内チューブに関する位置の適当であるかを確認することを助力でき、そして、計画外の気管内チューブの滑り率や片肺換気の発生率を低下させて、医療品質を向上させることにより、患者の安全性とバイタルサイン安定性を高めることに関する。
続きを表示(約 2,800 文字)
【背景技術】
【0002】
計画外の(endotracheal tube, ETT)の滑り率や片肺換気の発生率は、高くないが、発生する場合、患者のバイタルサインが不安定になって、入院日数や医療費が増加し、最悪の場合、死亡等の傷害を来すため、気管内チューブ位置の正確性が、臨床において、更に重要になる。また、医療環境において、集中治療室(intensive care units, ICU)の患者に対して、平均的に、二日乃至五日毎に、一枚の胸部X線写真を撮影し、今では、医師によって人力判読することが必要になり、そのため、臨床医師が、巨大な作業負荷の下で、胸部X線写真を検視する時、常に、肺炎等の主な病変に吸引されて、一つずつ、気管内チューブの位置を検視することができる。
【0003】
集中治療室において、たまに、計画外の気管内チューブの滑り率や片肺換気のイベントが発生して、患者に対して、致命傷を致す。理論上は、それぞれの胸部X線写真に対して、気管内チューブの位置を、詳しく検査しなければならない。しかしながら、医師が非常に忙しいから、膨大な作業負荷の下で、通常、他の明らかな病変を注意するようになり、そのため、気管内チューブの転位が無視されることがある。その故に、医師の判断に補助するように、気管内チューブに対して、その位置を検知と判断して警告を発するものは、必要である。
【発明の開示】
【発明が解決しようとする課題】
【0004】
本発明の主な目的は、従来の上記の問題を解消でき、胸部X線画像の気管内チューブの位置を自動識別できる、人工知能(Artificial Intelligence, AI)の計算モデルを提供し、これにより、臨床医療スタッフが、快速的且つ正確的に、気管内チューブの位置が適当であるかを確認でき、計画外の気管内チューブの滑り率や片肺換気の発生率を低下させて、医療品質を向上でき、そして、患者の安全性とバイタルサイン安定性を向上する、気管内チューブの位置異常な警告装置を提供する。
【0005】
本発明の他の目的は、胸部X線画像の気管内チューブの位置適当性を自動判読して適当な警告を提出できる人工知能計算モデルを提供し、当該人工知能計算モデルにより、開発とテスト段階において、共に、優れた表現を有し、臨床診療において、このモデルにより、患者のケア品質と安全が向上される、気管内チューブの位置異常な警告装置を提供する。
【0006】
本発明の他の目的は、集中治療室の患者に対して、平均的に、二日乃至五日毎に、一枚の胸部X線画像を撮影して、気管内チューブの位置適当性を評価し、複数枚の胸部X線画像を利用して、人工知能計算モデルトレーニングを行ってから、人工知能計算モデルで、1、胸部X線画像の気管カリーナ位置を判断して、気管内チューブや気管切開チューブを使用しているか、そして、その位置を判断し、2、気管内チューブ位置の適当性を計算して、気管内チューブの位置が異常であることを警告する。
【0007】
本発明の他の目的は、画像処理技術分野に関し、特に、画像の分析とマークの距離スケーリングの方法を提供する。画像処理応用において、一般として、画像にある物体の間の距離を計算と測定して、分析とマークを行う。しかしながら、異なる画像のサイズや比率が相違になる可能性があるから、直接にピクセル値で、距離を表示すれば、不正確になる恐れがある。そのため、画像のピクセル値を現実世界の距離値に変換することにより、正確的な画像分析とマークを行える方法が必要になる。
【0008】
当該方法には、画像の高さと幅が含まれる、トレーニングデータセット画像のオリジナルサイズを定義する、ステップ1と、処理待ちの入力画像を受信する、ステップ2と、入力画像のサイズとトレーニングデータセット画像のサイズとの比率であるスケーリングrを計算し、比較的に小さい値を選択してスケーリングとする、ステップ3と、計算したスケーリングrに基づいて、入力画像のピクセル値を、トレーニングデータセット画像に対応する実際の距離値に変換する、ステップ4及び、変換された実際の距離値を、画像分析とマークに利用し、例えば、物体の間の距離計算とマークである、ステップ5と、が含まれる。
【課題を解決するための手段】
【0009】
本発明は、上記らの目的を達成するため、気管内チューブの設置位置の正確性を監視する、気管内チューブの位置異常な警告装置であって、患者の胸部X線の画像素材を収集する、監視モジュールと、当該監視モジュールに接続されて、当該監視モジュールから入力された当該胸部X線の画像素材を受信し、人工知能(Artificial Intelligence, AI)計算モデルで、画像上の気管カリーナ(tracheal carina)や、気管内チューブ(endotracheal tube, ETT)及び気管切開チューブ(tracheostomy tubes)の存在を識別して、その位置を注釈する、物件検知モジュールと、当該物件検知モジュールに接続され、当該物件検知モジュールが、気管カリーナや気管内チューブの存在を検知した時、当該人工知能計算モデルの判断結果の注釈位置に基づいて、自動的に、気管内チューブの先端と気管カリーナとの距離を測定し、また、求めた距離の数値に基づいて、気管内チューブの位置適当性に対して、評価結果を生成し、当該評価結果において、当該気管内チューブの位置が、正確範囲内に位置しない時、アラームをトリガーする、位置評価モジュール及び、当該位置評価モジュールに接続され、当該物件検知モジュールと当該位置評価モジュールの判断結果を受信して、警告信号を発して、また、物件の注釈結果や気管内チューブの位置適当性の当該評価結果を表示する、表示モジュールと、が含まれる。
【0010】
本発明に係る上記らの実施例によれば、当該物件検知モジュールは、YOLOv5のディープラーニングモデルに基づいて、胸部X線の画像素材を入力することにより、また、プリセット比率で、複数の胸部X線の画像素材を、夫々、ディープラーニングのトレーニングデータセットとテストデータセットとして、当該トレーニングデータセットでモデルトレーニングを行い、また、当該テストデータセットでテストを実行して、それから、確認することにより、当該人工知能計算モデルを終了させ、また、標準機能の評価指標によって、当該人工知能計算モデルの性能を評価する。
(【0011】以降は省略されています)
この特許をJ-PlatPat(特許庁公式サイト)で参照する
関連特許
高雄醫學大學
気管内チューブの位置異常な警告装置
4日前
個人
貼付剤
28日前
個人
簡易担架
10日前
個人
短下肢装具
4か月前
個人
足踏み器具
17日前
個人
腋臭防止剤
10日前
個人
洗井間専家。
8か月前
個人
排尿補助器具
1か月前
個人
前腕誘導装置
4か月前
個人
嚥下鍛錬装置
4か月前
個人
歯の修復用材料
5か月前
個人
ホバーアイロン
7か月前
個人
腰ベルト
1か月前
個人
ウォート指圧法
1か月前
個人
矯正椅子
5か月前
個人
バッグ式オムツ
5か月前
個人
汚れ防止シート
1か月前
個人
胸骨圧迫補助具
2か月前
個人
アイマスク装置
2か月前
個人
排尿排便補助器具
12日前
個人
シャンプー
7か月前
個人
陣痛緩和具
4か月前
個人
哺乳瓶冷まし容器
4か月前
個人
美容セット
19日前
個人
湿布連続貼り機。
3か月前
個人
歯の保護用シール
5か月前
個人
エア誘導コルセット
2か月前
個人
治療用酸化防御装置
2か月前
個人
服薬支援装置
8か月前
個人
性行為補助具
3か月前
株式会社大野
骨壷
4か月前
株式会社コーセー
化粧料
1か月前
株式会社八光
剥離吸引管
5か月前
個人
シリンダ式歩行補助具
3か月前
株式会社コロナ
サウナ装置
6か月前
個人
こむら返り応急治し具
17日前
続きを見る
他の特許を見る